Deep overbite correction

Reverse overjet

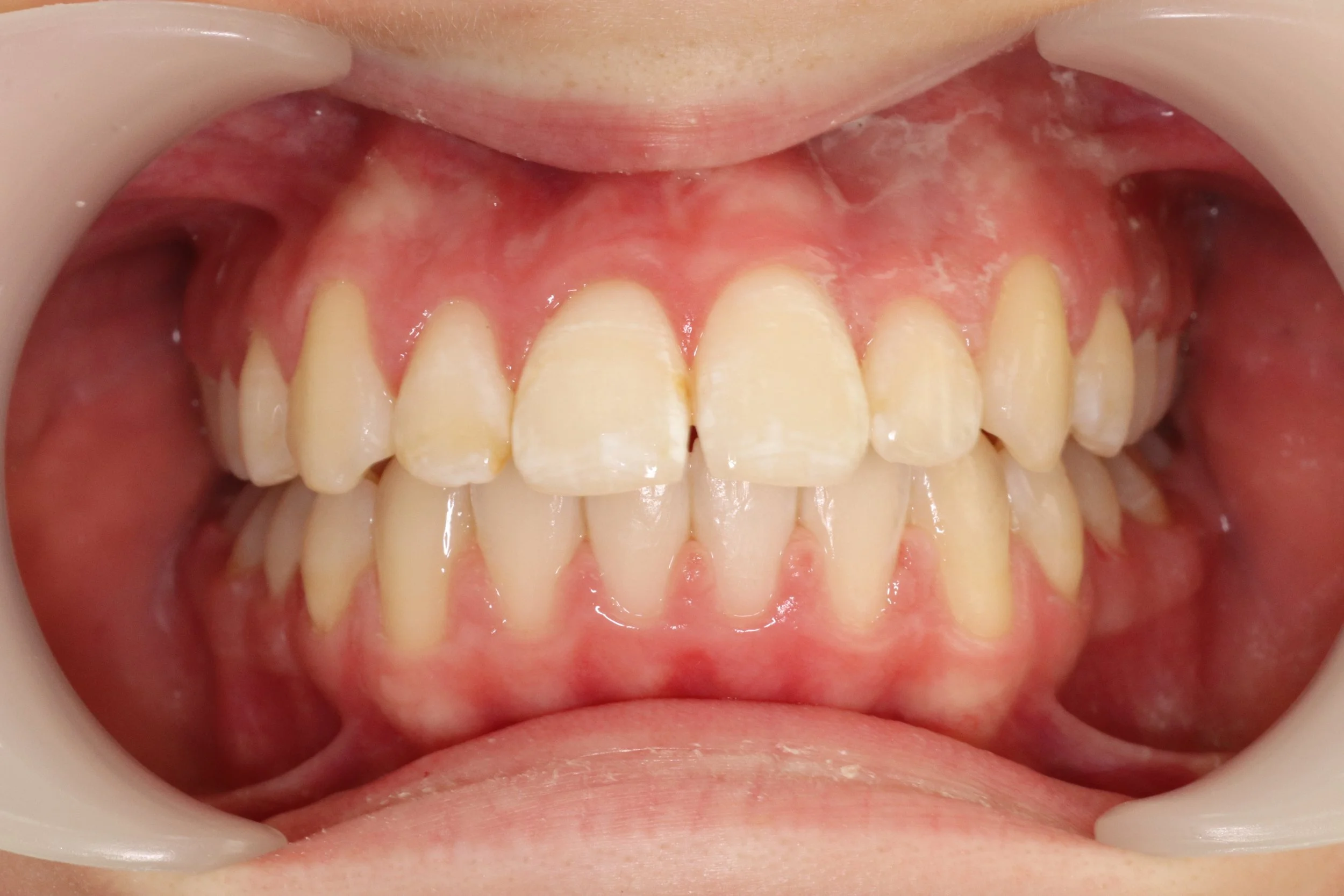
Close-up of a person's mouth showing crooked, misaligned, and overlapping teeth with visible tartar buildup.
Close-up of a person's teeth showing crowding and misalignment, with some overlapping and uneven spacing.

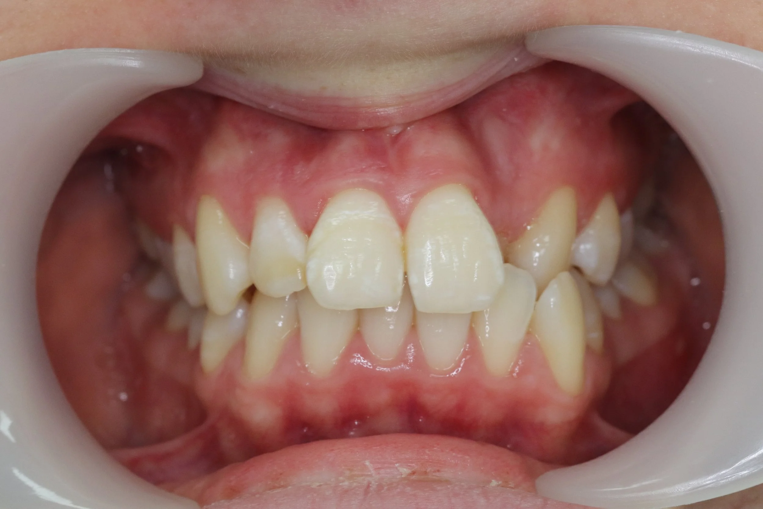
Overcrowding

Close-up of a person's teeth showing crowded and misaligned teeth with some gaps and overlapping.
Close-up of a set of clean, straight teeth with pink gums.

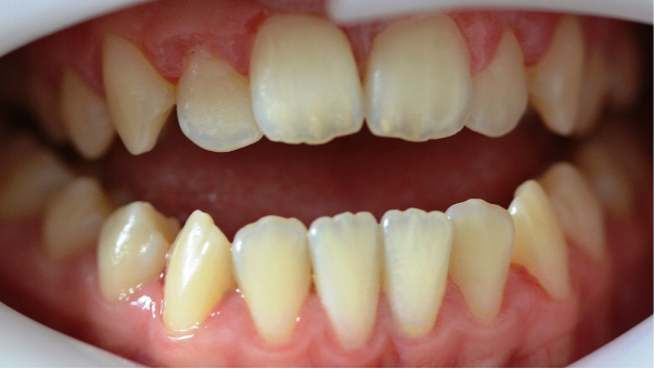
Overcrowding

Close-up of teeth with dental retractor showing upper and lower front teeth with some crowding and discoloration.
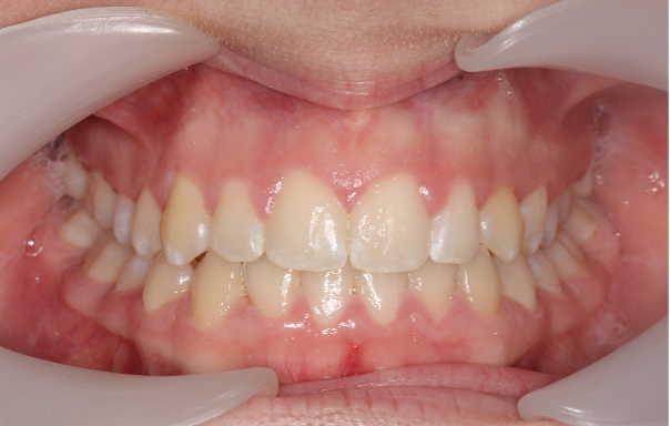
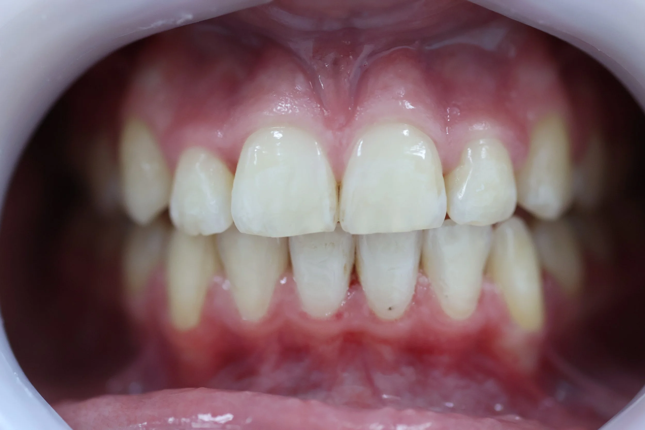
Close-up of a person's open mouth showing teeth and gums.
Close-up of teeth with metal braces on upper and lower jaws.

Jaw surgery

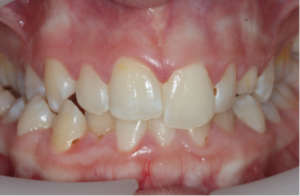
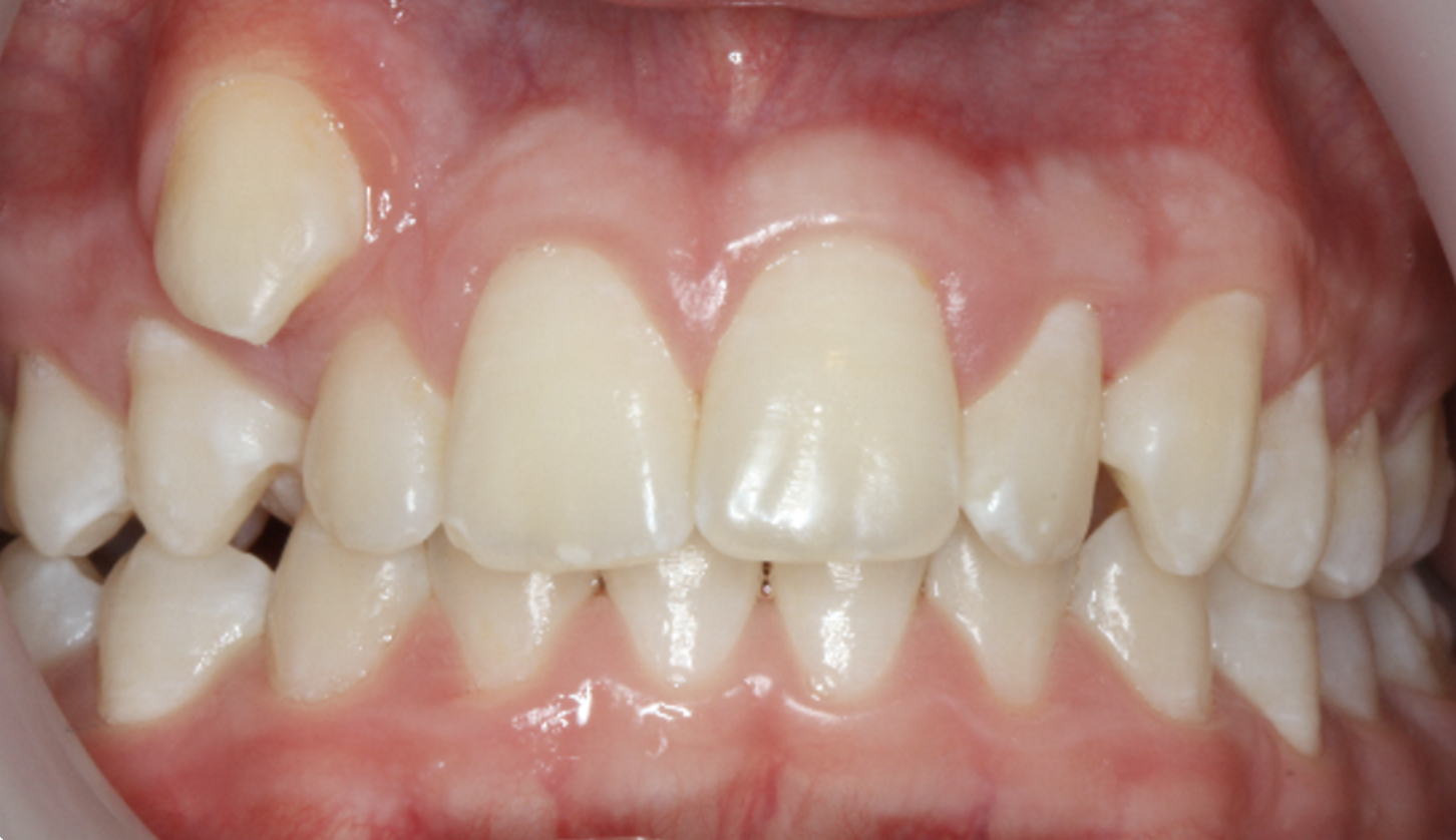
Close-up of a person's mouth showing teeth with misalignment and crowding

Open bite treatment

Close-up of a person's teeth showing misalignment and crowding.
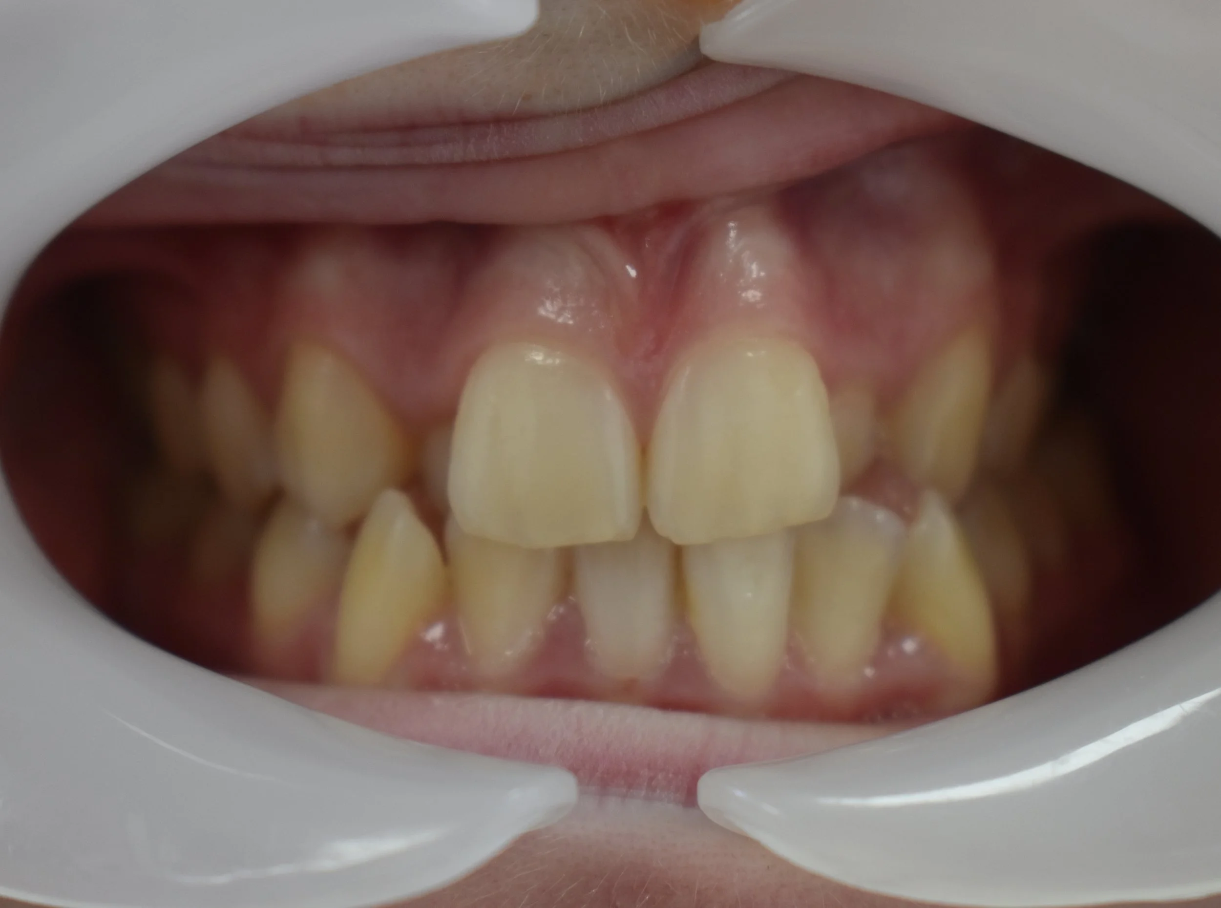
Close-up of a person's mouth showing upper and lower teeth with some misalignment and signs of plaque.

Deep bite treatment

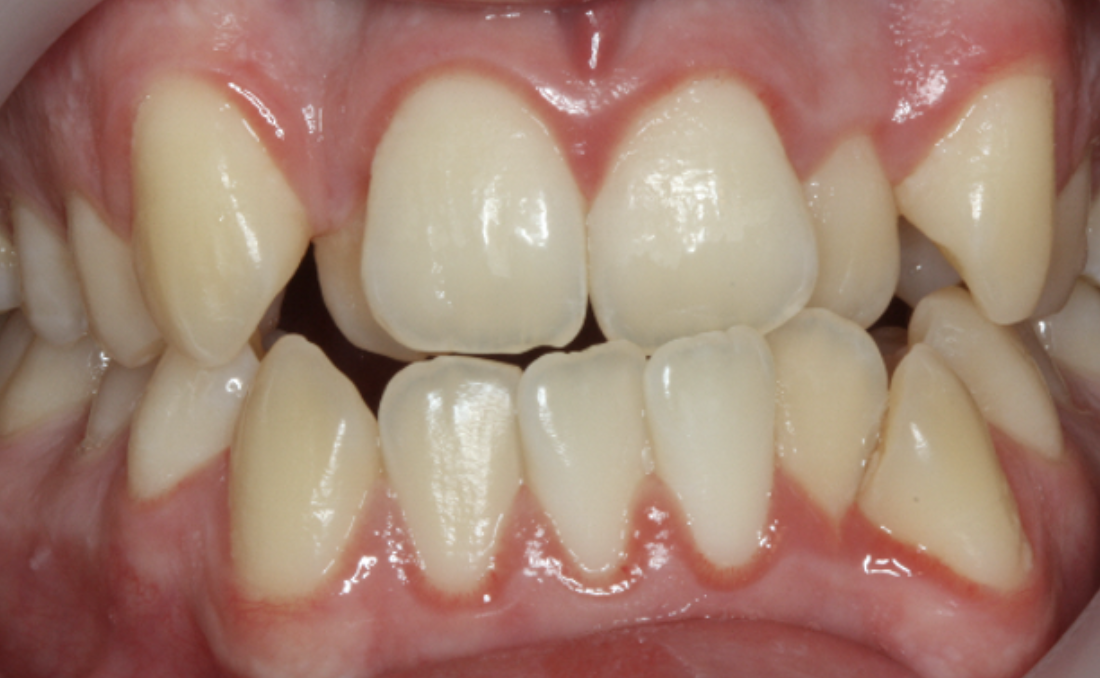
Close-up of a person's teeth with misalignment and crowding
Close-up of a person's open mouth showing teeth and gums, with dental retractors pulling the lips apart.

Lateral open bite treatment

Close-up of a person's teeth showing crowding and overlapping, with some misalignment.
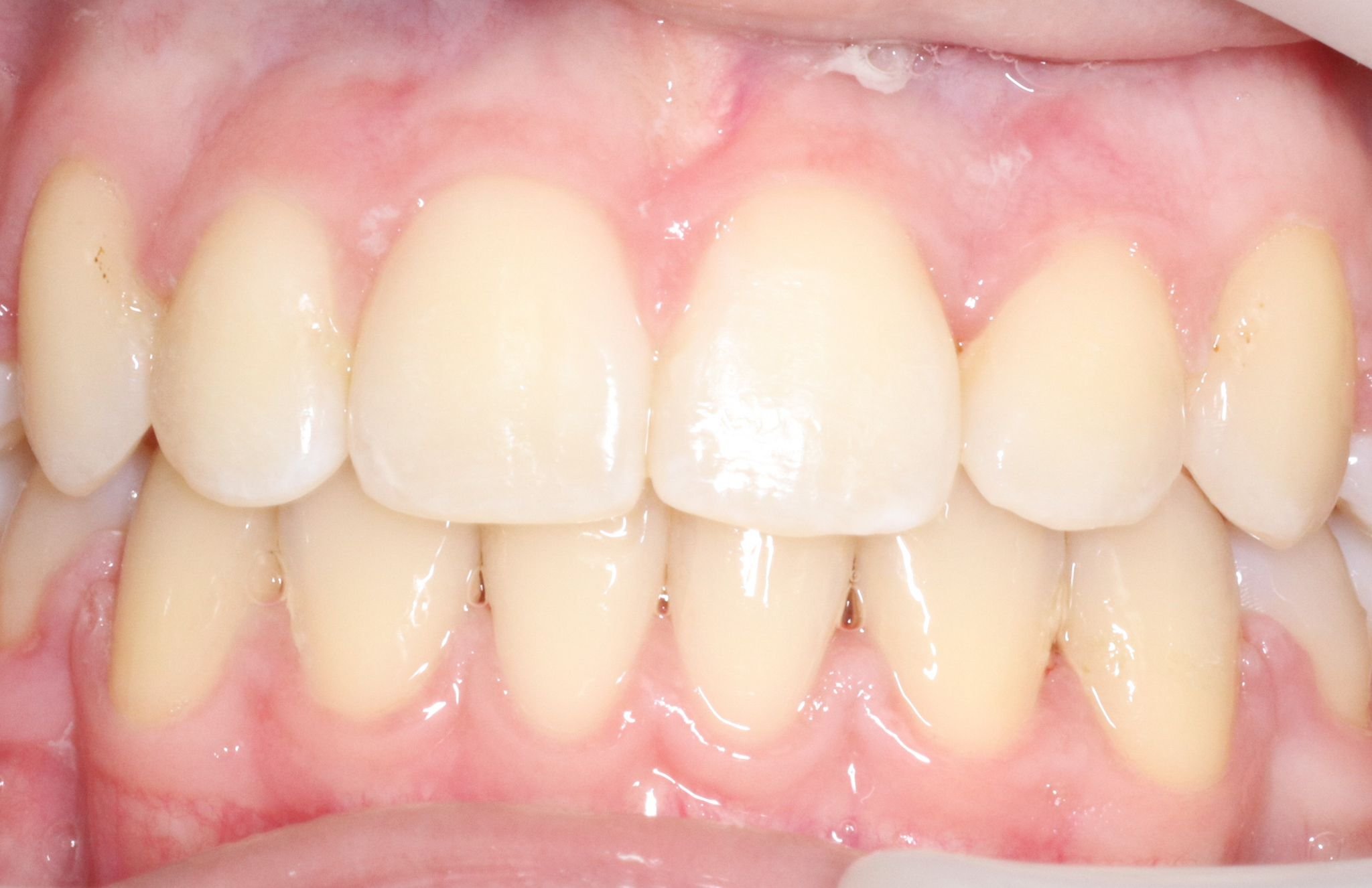
Close-up of upper and lower front teeth with healthy gums.
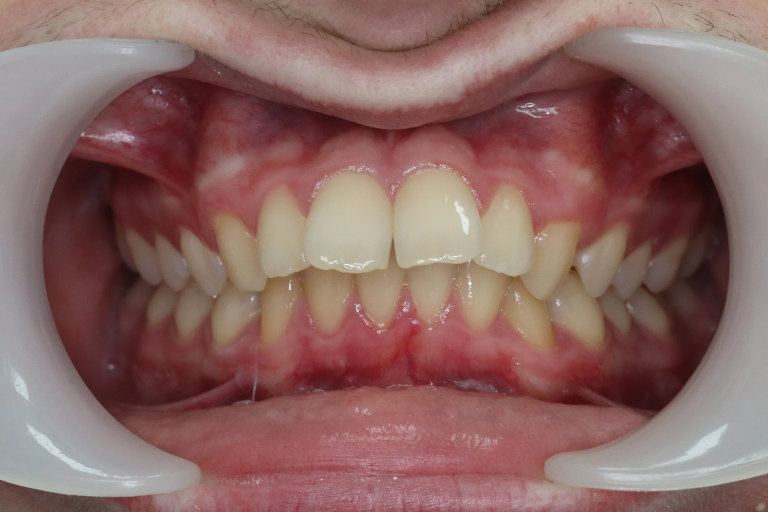
Close-up of a person's upper and lower teeth with crowding and misalignment, held open with dental cheek retractors.
Close-up of a person's mouth showing crooked upper and lower teeth with some crowding and misalignment.
Close-up of a person's mouth with dental retractor, showing teeth and gums.
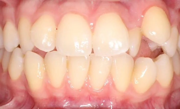
Close-up of a person's open mouth showing upper and lower teeth, with some misalignment and minor crowding, and red and healthy gums.